Back to Posts
February 10, 2022
Photo 1 of 3

professionalcasebeta
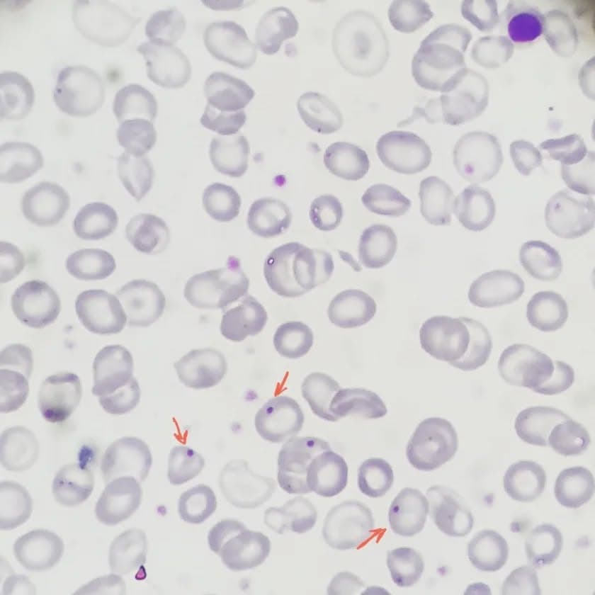
Caption: A case of beta thalassemia major who has undergone splenectomy. On peripheral blood smear howell jolly bodies as well as many target cells are present as a consequence of splenectomy.