Back to Posts
March 11, 2023
Photo 1 of 5

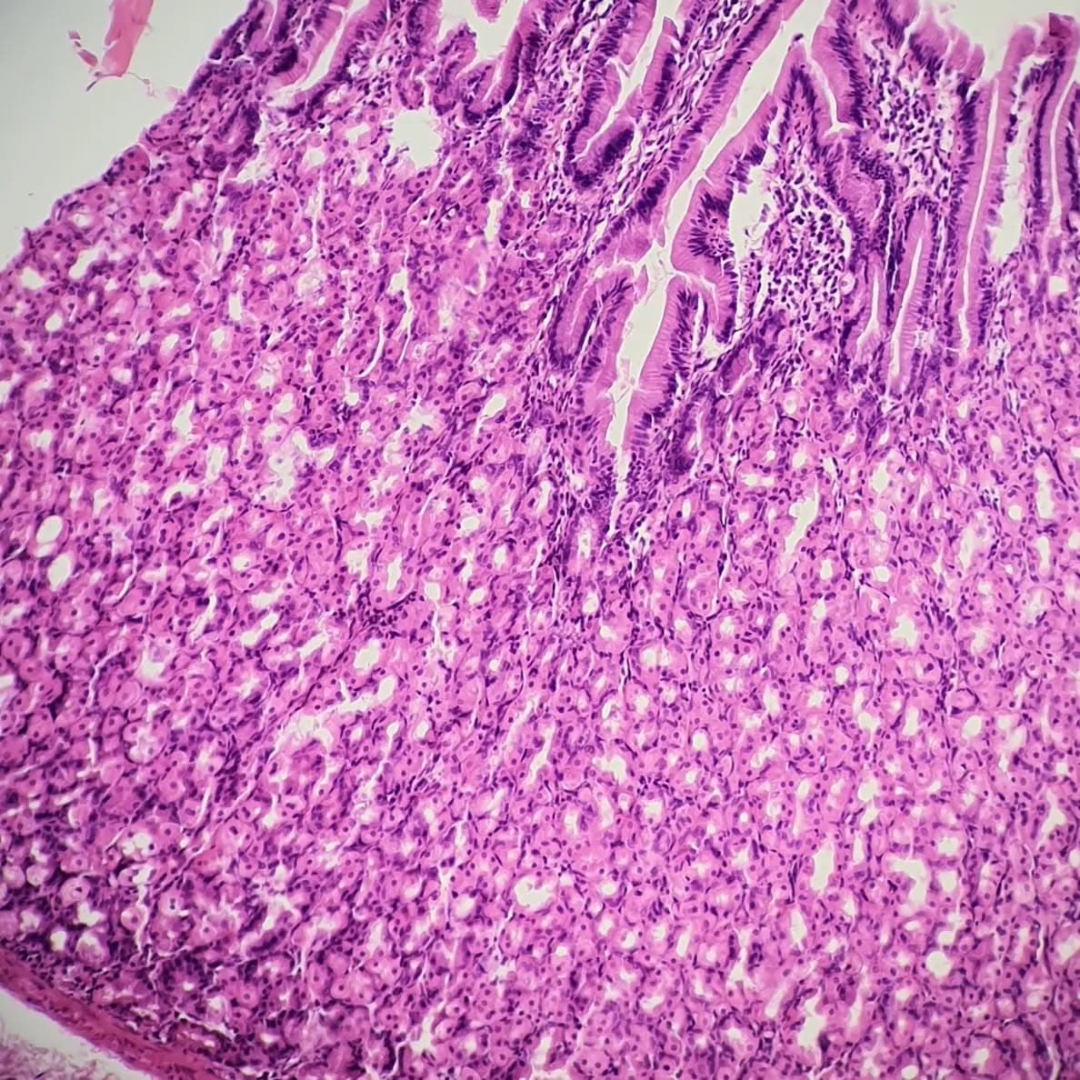
professionalresectedmeckel
Caption: Resected as "Meckel diverticulum" On gross examination, an ill-defined polypoid elevated area on mucosal surface was seen. Microscopic exam revealed ectopic oxyntic gastric mucosa!! Gastric mucosa is the most common ectopic tissue found in meckel diverticulum followed by ectopic pancreatic tissue.