Back to Posts
August 27, 2022
Photo 1 of 5

professionaly/ofemale
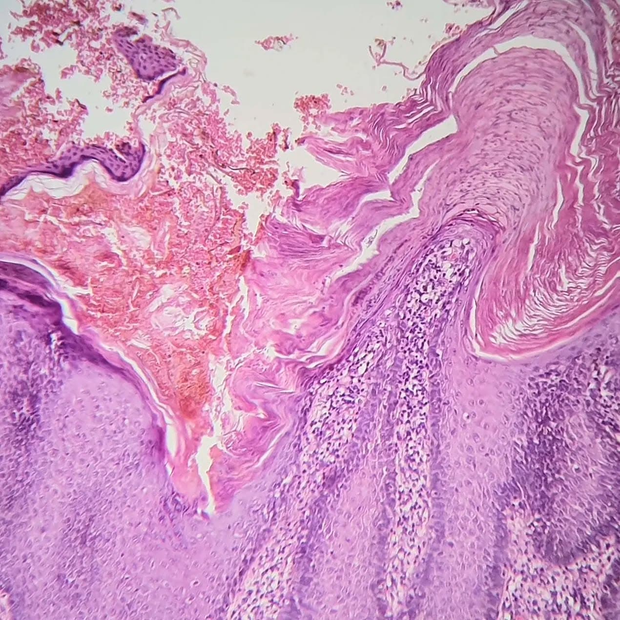
Caption: A 64 y/o female with a lesion on face Skin tissue with papillomatosis, acanthosis and hyperkeratosis with a flat base Dx: Seborrheic keratosis, hyperkeratotic type Main ddx: Verruca vulgaris