Back to Posts
July 9, 2023
Photo 1 of 6

professionalwell-differentiatedscc
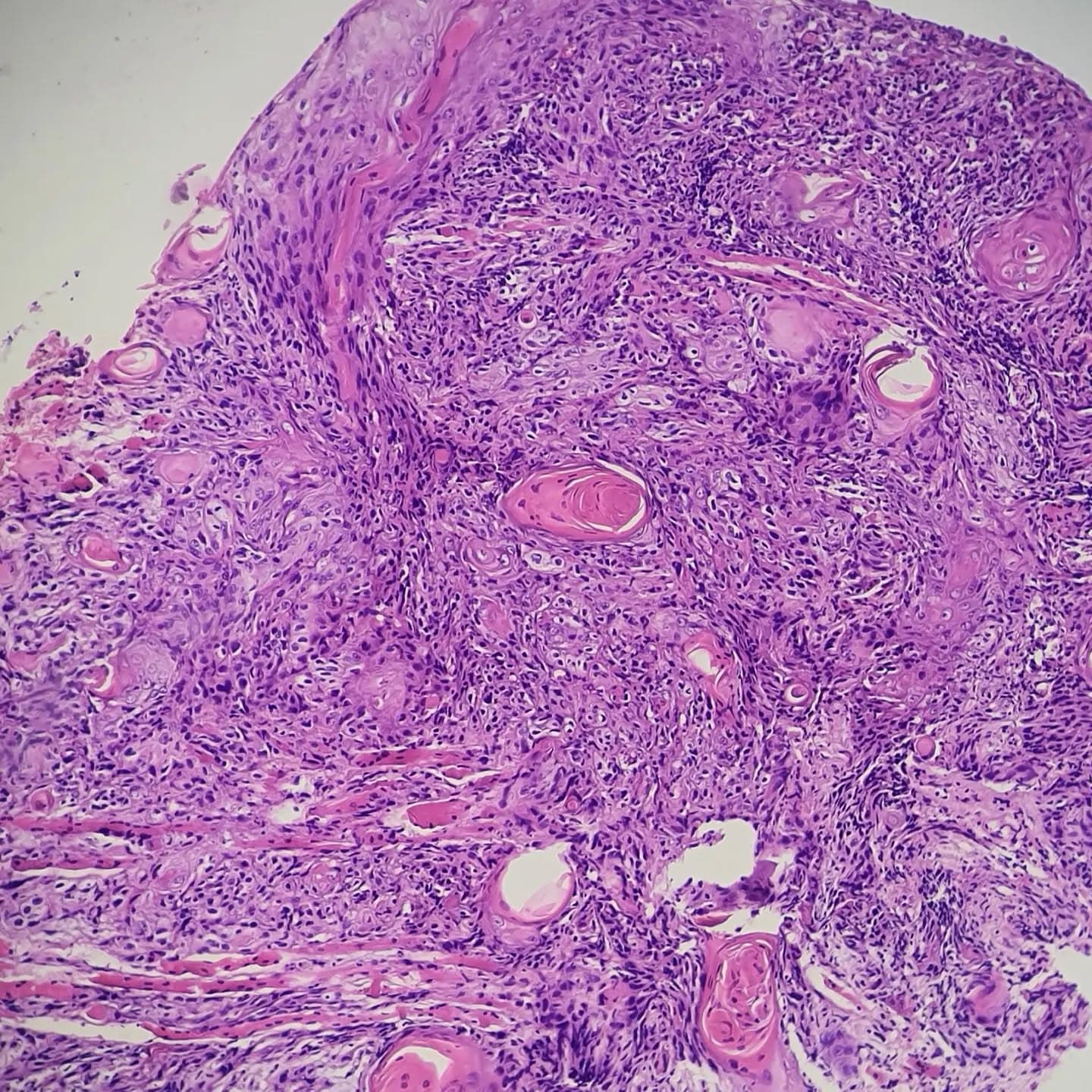
Caption: Well-differentiated SCC of tongue, keratinizing With entrapment of skeletal muscle bundles between tumor cells (slide 5, 6)

Caption: Well-differentiated SCC of tongue, keratinizing With entrapment of skeletal muscle bundles between tumor cells (slide 5, 6)