Back to Posts
August 12, 2022
Photo 1 of 9

professionaly/ofemale
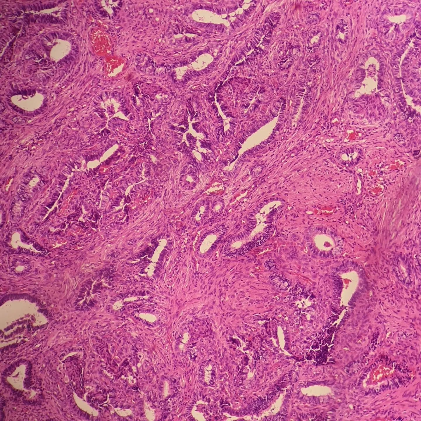
Caption: A 46 y/o female with complaint of AUB, sonographic exam showed an endocervical polyp with endometrial thickness of 7mm, and here it is, the amazing "atypical polypoid adenomyoma (APA)": lobular architecture in low power, biphasic lesion composed of endometrioid glands with complex architecture in a fibromyomatous stroma and very common squamous morules. @taghipoursalameh