Back to Posts
March 5, 2023
Photo 1 of 10

professionaly/omale
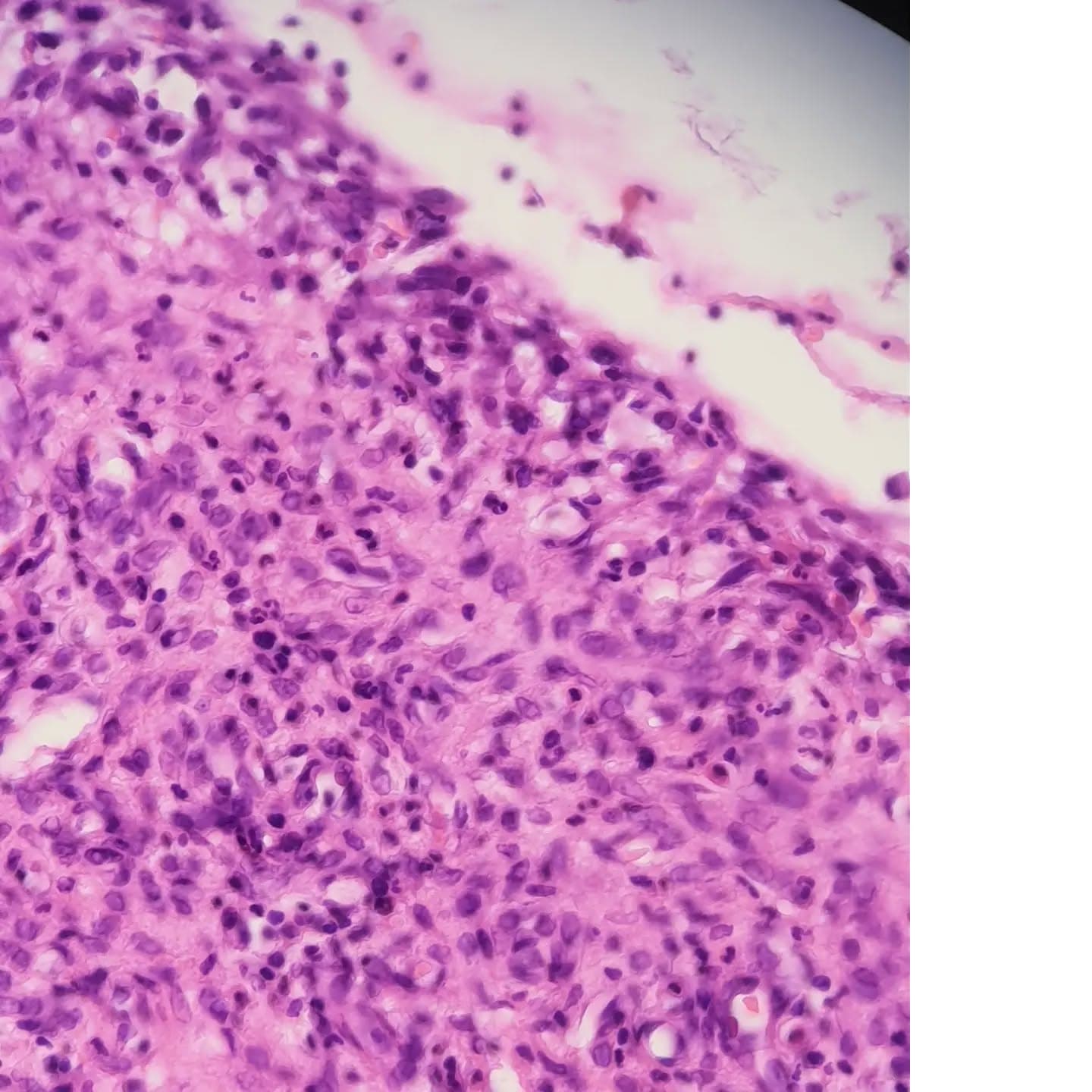
Caption: An 11 y/o male with a lower lip lesion A cyst like structure lined by abundant foamy histiocytes and neutrophils. The adjacent salivary gland shows lymphoplasmacytic infiltrate and ductal dilation. Dx: mucous cyst (mucocele)