Back to Posts
July 14, 2022
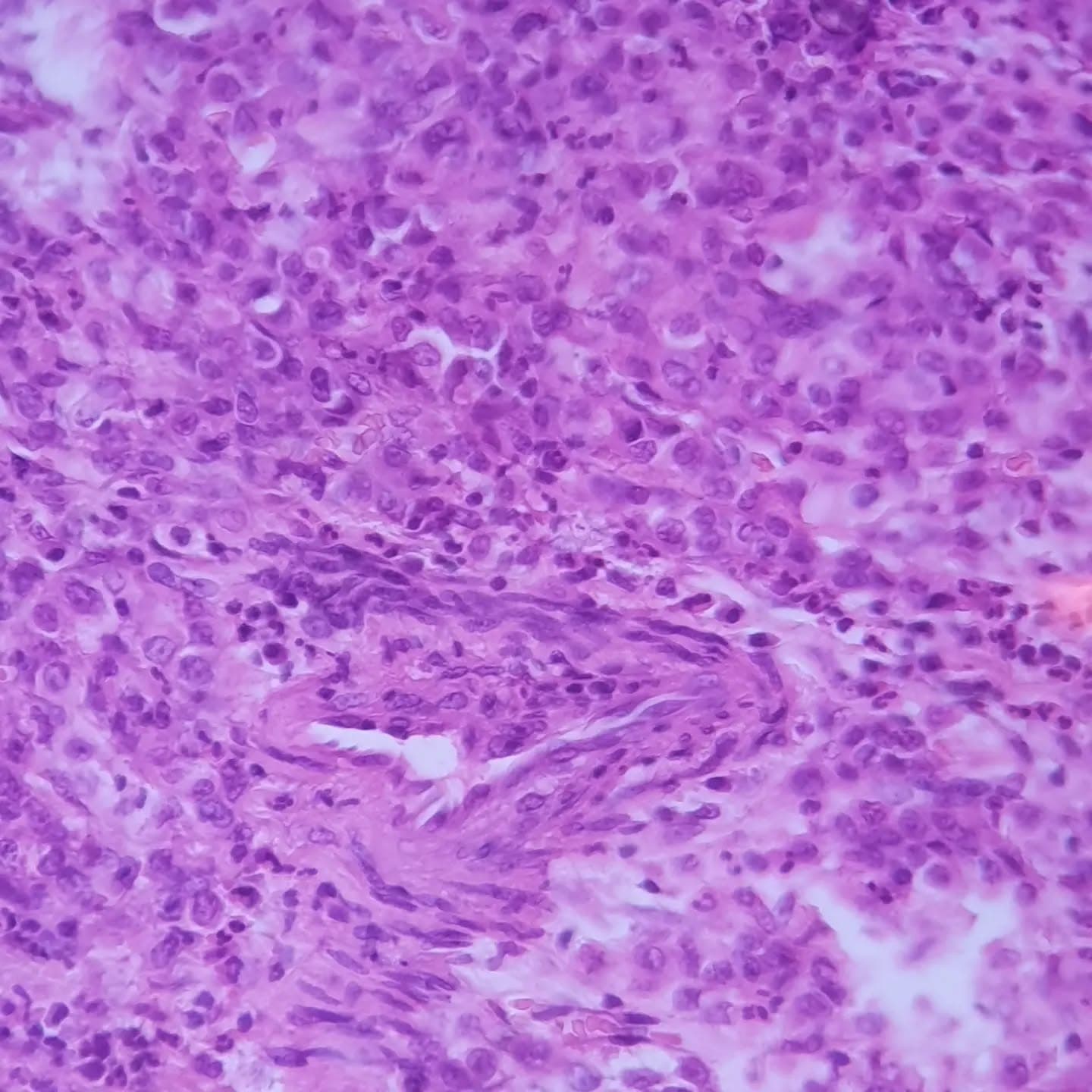
Photo 1 of 10

professionalterrifyingpoorly
Caption: Terrifying poorly differentiated gastric adenocarcinoma with signet ring features.. Marked pleomorphism of tumor cells with many atypical mitotic figures, forming glands in a small foci (slide 4), invading through muscularis propria layer and beyond (slide 9) and its cruel lymphovascular invasion (slide 10: a lonely vessel surrounded by attacking malignant cells)