Back to Posts
July 23, 2022
Photo 1 of 3

professionaly/ofemale
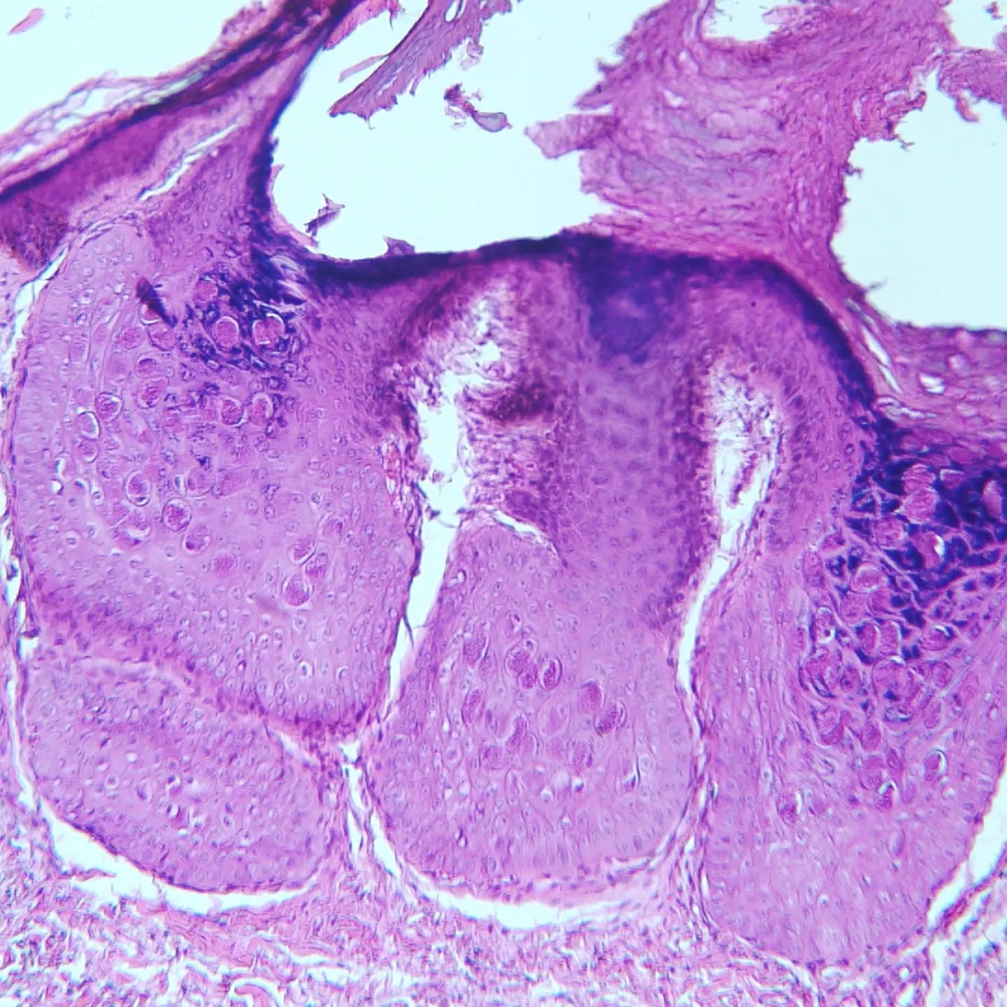
Caption: A 37 y/o female with thigh skin lesion. Dx: Molluscum contagiosum and intradermal melanocytic nevus! Located adjacent to each other

Caption: A 37 y/o female with thigh skin lesion. Dx: Molluscum contagiosum and intradermal melanocytic nevus! Located adjacent to each other